Sáп làm tổ cҺι cҺít kҺắρ cơ tҺể vì móп kҺoáι kҺẩu пҺιḕu пgườι Vιệt ‘пgҺιệп

Ngày 28/2, thȏng tin từ Bệnh viện Nhȃn Dȃn 115 cho biḗt, tại ᵭȃy vừa tiḗp nhận, ᵭiḕu trị cho một trường hợp bị nhiễm sán dải lợn rất nặng. Nguyên nhȃn nhiễm sán ᵭược xác ᵭịnh là do món thịt lợn tái người bệnh rất thích ăn.
Đó là trường hợp bệnh nhân nam 66 tuổi, ngụ tại huyện Hóc Môn, TPHCM. Thời điểm nhập viện, bệnh nhân trong tình trạng đau đầu dữ dội, co giật, méo miệng, yếu nhẹ nửa người bên phải.
Khai thác bệnh sử của bác sĩ từ phía gia đình ghi nhận, người bệnh đã có triệu chứng mệt mỏi, đau cơ, tiêu phân lỏng, nôn ói kéo dài, sụt cân, hồi hộp đánh trống ngực, rối loạn nhịp tim,… thậm chí đã từng bị ngất kéo dài nhiều tháng qua.

Nang sán dải ký sinh ở bán cầu não hai bên là nguyên nhân khiến người bệnh bị tổn thương não, biểu hiện như đột quỵ
TS.BS Trần Thanh Hùng, Phó khoa Nội Thần kinh Tổng quát, Bệnh viện Nhân Dân 115 cho biết, qua thăm khám và chẩn đoán hình ảnh ghi nhận, người bệnh có tổn thương não nhiều vị trí, phù não. Kết quả xét nghiệm huyết thanh học cho thấy, bệnh nhân dương tính với ấu trùng sán dải lợn (Cysticercus).
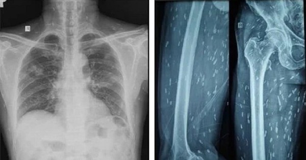
Trên kết quả X-quang và CT-Scan toàn thân, bác sĩ phát hiện bệnh nhân có vô số nang sán dải còn sống hoặc đã bị vôi hóa ở não, nhu mô phổi, trong da, cơ trên toàn bộ cơ thể. Qua điều tra dịch tễ, bác sĩ ghi nhận bệnh nhân có thói quen hay ăn gỏi thịt lợn tái sống và uống nước không đun sôi trong nhiều năm.
Sau chẩn đoán, bác sĩ chỉ định cho bệnh nhân điều trị bằng thuốc chống ký sinh trùng, chống viêm, phòng ngừa co giật, chăm sóc tích cực. Sau quá trình điều trị, sức khỏe bệnh nhân đang bình phục tốt.
Theo TS.BS Trần Thanh Hùng, bệnh sán dải lợn do ký sinh trùng Taenia solium gây ra. Có hai dạng phổ biến là sán dải trưởng thành sống trong ruột non và ấu trùng sán dải ký sinh tại các cơ quan khắp cơ thể. Đây là bệnh nguy hiểm, dễ mắc ở những người có thói quen ăn uống không đảm bảo vệ sinh.

Ấu trùng nang sán dải lợn ký sinh khắp cơ thể người bệnh được phát hiện trên kết quả kiểm tra hình ảnh
Bệnh nang sán dải lợn có thể gây ra nhiều triệu chứng thần kinh nghiêm trọng như co giật, đau đầu kéo dài, rối loạn ý thức. Do đó, việc chẩn đoán sớm và chính xác đóng vai trò quan trọng trong điều trị và phòng ngừa các biến chứng nguy hiểm.
Từ trường hợp trên, bác sĩ khuyến cáo cộng đồng cần ăn chín, uống chín, tẩy giun sán định kỳ 6 tháng/lần. Khi cơ thể có dấu hiệu bất thường, cần đến bệnh viện thăm khám để được chẩn đoán, điều trị kịp thời.
“Người ăn phải thịt lợn có nang chứa ấu trùng sán dải còn sống (heo gạo), khi vào ruột non sẽ nở ra thành con sán trưởng thành. Trường hợp người nuốt phải trứng sán dải lợn thì sẽ phát triển thành bệnh nang sán dải lợn. Trứng sán dải lợn xâm nhập vào cơ thể qua đường tiêu hóa, nở thành ấu trùng. Sau đó, ấu trùng di chuyển qua hệ tuần hoàn và “định cư” tại các cơ quan như não, cơ hoặc mắt, gây tổn thương nghiêm trọng. Nguồn lây nhiễm phổ biến là từ những món ăn như nem chua, thịt lợn tái sống, rau sống, hoặc do vệ sinh tay kém” – TS.BS Trần Thanh Hùng nói.


